贝伐珠单抗对恒河猴重复给药毒性试验
胡文元
谱尼生物医药科技(上海)有限公司 上海 200000
引言
贝伐珠单抗是临床上一种常用的靶向治疗药物,目前主要用于治疗转移性结肠癌、非小细胞肺癌、肝细胞癌等。恒河猴每周1 次连续 4 周共5 次静脉输注给予贝伐珠单抗后停药恢复 4 周,观察该供试品可能引起的毒性反应的性质、程度、量效和时效关系及其可逆性,推测毒性靶器官或靶组织,同时伴随毒代动力学研究,为评价临床使用的安全性提供参考信息。
1 材料与方法
1.1 试验药品与试剂
试验药品主要为贝伐珠单抗,为了更好地使用该药剂,将其制成不同稀释比例的试剂。具体来讲,精准量取贝伐珠单抗注射液至合适容器中,用氯化钠注射液稀释,轻微摇晃混匀,
的 PES 滤膜过滤至灭菌容器中得到 0.4 mg/mL、2mg/mL 和10 mg/mL 的给药制剂,记录制剂性状。首次配制时测定 pH。首次和第 4 次配制按要求取样用于制剂分析。供试品给药制剂可以提前 1 天配制,配制后放置在2-8℃的环境中,避光保存。另外,也可以现配现用的方案,配制后室温避光保存。从 2-8℃取出的给药制剂发药前需室温放置不少于 30 min[1]。
1.2 仪器与设备
试验研究过程中,为了达到理想的研究成果,选择适宜的仪器设备,如表 1 所示。同时,选择符合需求的计算机软件/数据系统,具体如表 2 所示。
表1 主要仪器设备

表 2 主要计算机软件/数据系统

1.3 动物分组及给药
试验研究过程中,共选用 32 只恒河猴,雌雄各半,分别为溶媒对照组和贝伐珠单抗 2、10、50 mg/kg 剂量组,给药期24 只(每组 6 只、雌雄各半),恢复期8 只(仅溶媒对照组和高剂量组各 4 只、雌雄各半)。静脉输注给药,每周 1 次,共给药5 次,停药后恢复 4 周。所有动物均按照试验方案要求进行计划解剖,具体如表 3 所示。
1.4 病理学技术

备注:“-”表示不适用,X:0 为雌性,1 为雄性。
待给药期及恢复期结束,按照试验计划与标准要求,进行各组动物的病理解剖、大体病理学检查,包括取指定组织/脏
表5 与贝伐珠单抗相关的组织病理学改变(恢复期末)

表3 试验剂量与分组

2.4 骨生长板病变程度识别一致性
本次试验研究中,组织病变结果表明,动物生长板肥大层增厚的现象,病变程度为轻微至轻度,这种病变发生程度不是很明显,同时,对于这种增厚程度的判断标准来讲,侧重于病理学家的主观经验,不同病理学家对增厚的理解不同,判定标准不同,致使该数据存在一定争议。试验研究过程中,如何对这种骨生长板病变程度,取得一致性的识别认知成为难点。针对该问题现象的存在,试验研究过程中,引入双盲法阅片和资深同行评议病理学家复核机制,通过多方协同对骨生长板病变器称重。相关流程包括组织固定、制备切片、病变分级、数据统计。其中,组织固定:使用10%中性缓冲福尔马林及改良 Davidson’s 溶液;切片制备:标准化取材、脱水、石蜡包埋、切片、HE 染色流程;病变分级系统:五级法(轻微、轻度、中度、重度、严重)量化骨生长板增厚等病变;数据统计:基于个体动物数据,分析剂量依赖性与恢复趋势[2]。
1.5 统计学方法
数据统计方法主要是对各组数据采用 Levene’s 法进行方差异性检验。该环节中,分为参数检验与非参数检验。参数检验,即方差齐时(p>0.05),采用单因素方差分析(ANOVA)进行统计分析:若p≤0.05 有统计学意义,采用邓尼特检验(Dunnett 法)对组间差异进行多重比较;若 p>0.05 ,无统计学意义,统计分析结束。如果只有两组比较,则采用独立样本 t 检验比较给药组与第 1 组的差异;非参数检验,即方差不齐时(
),采用 Kruskal-Wallis H 检验(K-W 法)进行统计分析:若结果显示有统计学意义 (p⩽0.05) ),采用Mana-Whitney U 检验(M-W 法)对组间差异进行多重比较(或对各组数据进行秩次转换,然后进行单因素方差分析(ANOVA)结合邓尼特检验(Dunnett 法)进行组间差异比较);若结果显示无统计学意义 (p>0.05 ),统计分析结束。如果只有两组比较,则采用 Mana-Whitney U 检验(M-W 法)对组间差异进行比较,p≤0.05 则具有统计学意义,若 p>0.05,则无统计学意义[3]。
2 结果与分析
2.1 临床症状
试验研究中,围绕不同的时期展开对动物的临床观察,例如,适应期对所有动物,至少观察 1 次;给药期,对存活动物每周至少观察一次,给药完成后 2\~4h 进行密切观察;恢复期,针对组 1(溶媒对照组)和组4(贝伐珠单抗高剂量组)存活动物,每周至少进行观察 1 次。观察内容主要包括:给药部位、皮肤、被毛、眼、耳、鼻、口腔、胸部、腹部、泌尿生殖部、四肢等部位,以及呼吸及循环系统,自主效应(如流涎),神经系统(如震颤,抽搐,应激反应以及反常行为)。出现异常症状时,适当增加观察频率并记录,针对健康状况较差的动物给予进一步的观察。从最终的临床症状来看,所有动物均伴有相对良好的精神状态,能够正常活动、进食,给药期间未出现明显的食欲减退、亢进现象;粪便和尿液的外观、形状、频率均未出现异常;在体重方面,各组试验组动物的体重与溶媒体组未有明显的异常现象;同时,针对动物体温进行定期监测,各组动物体温数据有明显的异常现象,均处在正常范围。
2.2 脏器重量及系数
针对动物脏器的称重,双侧脏器记录总重,所有称量的脏器均需进行脏体系数、脏脑系数计算,计算公式如下:脏体系数 Γ(g/g 体重)=脏器重量 Π(Πg) /动物终体重 (ρg)×100% ;脏脑系数 (g/gAAE) )=脏器重量 Π(Πg) /动物脑重 (ρg)×100% 。该环节中,针对脏器的固定,基于不同脏器给予不同固定措施,例如,眼球、视神经、睾丸用改良 Davidson’s 溶液固定,其余组织/脏器直接固定于 10%中性福尔马林溶液中。结果表明,给药期末和恢复期末,均未见与贝伐珠单抗相关的体重、脏器重量及系数的改变。
2.3 组织病理学检查
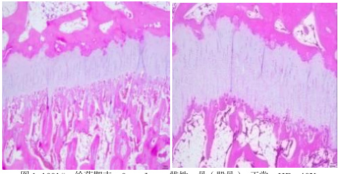
组织病理学检查结果表明,给药期末、恢复期末,动物组织器官存在病变现象,具体见下图及表 4、表 5 所示。给药期末的结果表明:与贝伐珠单抗相关的组织病理学改变主要见于 10mg/kg 剂量组雌性动物和50mg/kg 剂量组雌雄动物的股骨。10mg/kg 剂量组3 例雌性动物可见轻微生长板肥大层增厚;50mg/kg 剂量组雌雄动物各 3 例可见轻度生长板肥大层增厚;恢复期末的结果:与贝伐珠单抗相关的组织病理学改变主要见于 50mg/kg 剂量组雌雄动物各2 例(1 例轻微、1 例轻度)见生长板肥大层增厚,股骨的改变可见明显恢复趋势。其余组织病理学改变考虑为该实验动物常见的自发性背景病变或偶发性病变,与贝伐珠单抗无关。
图1 1001#,给药期末,0 mg/kg, 雌性,骨(股骨),正常,HE,40X
4002#,给药期末,50 mg/kg,雌性,骨(股骨),肥大层增厚,生长板,HE,40

表4 与贝伐珠单抗相关的组织病理学改变(给药期末)
程度的识别,可以有效减少判断过程中的主观臆断影响。针对该方案的实施,试验研究中,重点考虑如何在实验操作中有机结合双盲法的应用,采用隐藏组别信息、打乱各组切片、随机对每张切片或组织进行诊断,利于从客观角度形成对病变组织的判定,病理学家无法知道样本属于哪个组,之后由同行评议专家进行讨论、解决分歧,统一诊断标准,从而确保测定结果的准确性[4]。
2.5 高剂量组肾脏病变毒性关联性判断
本次试验研究中,高剂量组动物的肾脏出现病变现象,主要是肾小球肾炎与透明管型。基于这种现象来讲,其他试验研究报告指出,动物也可能是由于自身因素导致该病变现象。对此,本次试验研究中,如何确定是因为试验用药毒性,还是因为继发代谢紊乱导致恒河猴动物出现肾脏病变成为难点。针对该问题现象的存在,结合实验结果,动物肾小球肾炎和透明管型虽均出现在高剂量组中雌雄动物身上,然而,由于发生程度较轻(轻微至轻度),且该种病变属于实验动物背景病变中常见改变,所以难以判断。为此,针对试验研究得到的数据,将其对比于溶媒对照组,结果并未发现类似病变,同时,对动物临床尿液数据进行检查,4105#雄性动物蛋白尿由 2+转变为+/-、4005#雌性动物尿沉渣镜检出现结晶 ++ ,查阅相关文献进行该数据的对比分析。结果表明,对于高剂量组肾脏病变毒性关联性,尚不能完全排除与供试品的相关性,后续重点关注肾脏潜在毒性,并延长恢复期观察长期效应[5]。
3 结论
本次贝伐珠单抗对恒河猴重复给药毒性试验不仅完成了对贝伐珠单抗的临床前毒性评价,还建立了灵长类骨组织病理检查的标准化流程,为同类生物药的研发提供了重要参考。针对动物组织结构进行检测过程中,通过遵循标准方案中的切片厚度、染色时间要求,使检测工作进度加快,可以保障质量。与此同时,还呈现出跨学科协作的重要性,如通过与毒理学专家合作,对病理学数据与生化指标的关联性做出有效评价,为实验结论的可靠性提供了帮助。此次试验研究的成功,形成了对贝伐珠单抗药物毒性的深入了解,对临床医疗用药、相关研究具有重要的参照价值,相关研究结论值得为临床医疗行业提供参照及学习,进而促进我国医疗事业的发展。
参考文献:
[1] 杨平,崔立,俞诚,等.贝伐珠单抗注射液对食蟹猴皮肤伤口愈合的影响[J].实验动物与比较医学,2023,43(1):21-29.
[2] 张冰,姬鹏飞,彭岚刚,等.基因编辑"猪-恒河猴"异位心脏异种移植的围术期治疗及管理经验[J].中国体外循环杂志,2023,
21(4):232-236.
[3] 本刊编辑部.本刊对论文中统计学方法描述的要求[J].中华实验眼科杂志,2023,41(1):1.
[4] 赵常红,李世昌,孙朋,等.不同方式运动对生长期大鼠 Ihh/PTHrP 信号通路及骨纵向生长的影响[J].天津体育学院学报,2
023,38(6):734-739.
[5] 孔德亮,梅小斌,陈舟,et al.抗HBV 药物富马酸替诺福韦二吡呋酯长期低剂量灌胃大鼠的肾脏毒性观察[J].山东医药,20
24(35).
作者简介:胡文元,男,汉族,1990.09-,安徽安庆人,硕士研究生,实验师,研究方向:毒性病理诊断